


用心
讓每一位患者
獲得最好的治療與照顧
秉持職人精神 x 匠人手藝
也是富含熱忱的創業家
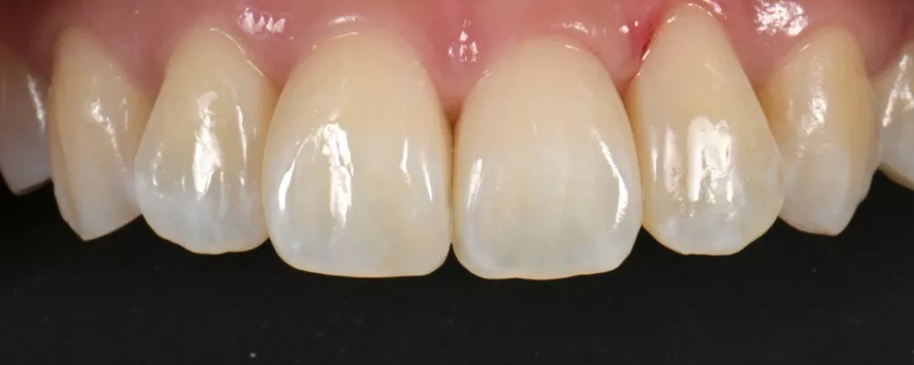
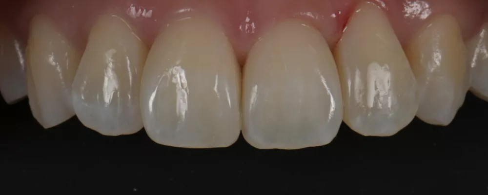
「每一位前來求診的患者都希望得到最好的治療與照顧。」這句話始終是我行醫的初心。牙科治療不僅是修復牙齒,更重要的是回應患者的期待,幫助他們找回健康與自信。從台大臨床牙醫研究所的扎實訓練,到全國牙體復形病例競賽的冠軍榮耀,持續堅定地精進專業,全是為了給患者最好的選擇。
身為植牙、牙體復形、家庭牙科三大專科醫師,同時兼任台大醫院主治醫師,我堅持以專業與溫暖的態度,陪伴每位患者擁有更美好的笑容。
除了醫術的精進,更創立了【勤美牙醫診所】、【日沐勤美牙醫診所】與【小日子兒童牙醫診所】,致力打造林口地區最完善的台大專科醫療團隊。短短幾年內,吸引超過40位頂尖醫師加入,一同提供正確且高品質的醫療服務,讓更多患者受惠。
醫療的價值不只是技術的精湛,更來自內心的關懷與責任。我堅信,專業與溫度可以並行,並期許自己能為每一位患者帶來最值得信賴的牙科體驗。
經歷
- 台大臨床牙醫所|碩士
- 台大醫院牙科部|兼任主治醫師
- 衛福部定牙體復形|專科醫師
- 中華植牙全聯會|專科醫師
- 全國牙體復形競賽|年度冠軍
- 勤美/日沐勤美/小日子牙醫診所|創辦人暨總召集人
Premium
Dental Care

各界推薦
媒體、學業界、患者指定推薦,讓專業成就美麗笑容
學術傳承經驗分享
在臨床工作之外,也積極參與學術界的技術研討與經驗交流。我始終相信,醫療不僅是技術的累積,更是一份對社會的責任與回饋。
無論是業界交流還是人才培育,都以實際行動投入牙醫領域的未來發展。希望透過知識與經驗,連結學術與臨床,用專業與熱忱回饋社會,為台灣牙醫界培育更多優秀人才,推動產學並進,持續提升醫療技術與服務品質
Mentorship
Knowledge Sharing
