堅持品質!因為我知道這有多重要
常有人問:「邱醫師,為什麼你每次治療都這麼花心思?」
因為我知道,牙齒不只是局部問題,它牽動著一個人的生活全貌。能不能自在吃飯、敢不敢開口笑、在人前是不是有自信,都與牙齒息息相關。
從許多案例發現,長期維持良好牙齒健康的長輩,不僅外表比同齡人年輕,精神狀態、生活品質都明顯更好。因為他們不只能自在的社交,同時也能好好享受食物的美味,這些看似理所當然的日常,其實都建立在一次次用心的治療細節中。
走進醫療領域越深,越能明白:「真正好的治療,從來不是只處理眼前的問題,而是要看見未來。」我需要在一顆牙齒背後,看見長遠的生活樣貌。
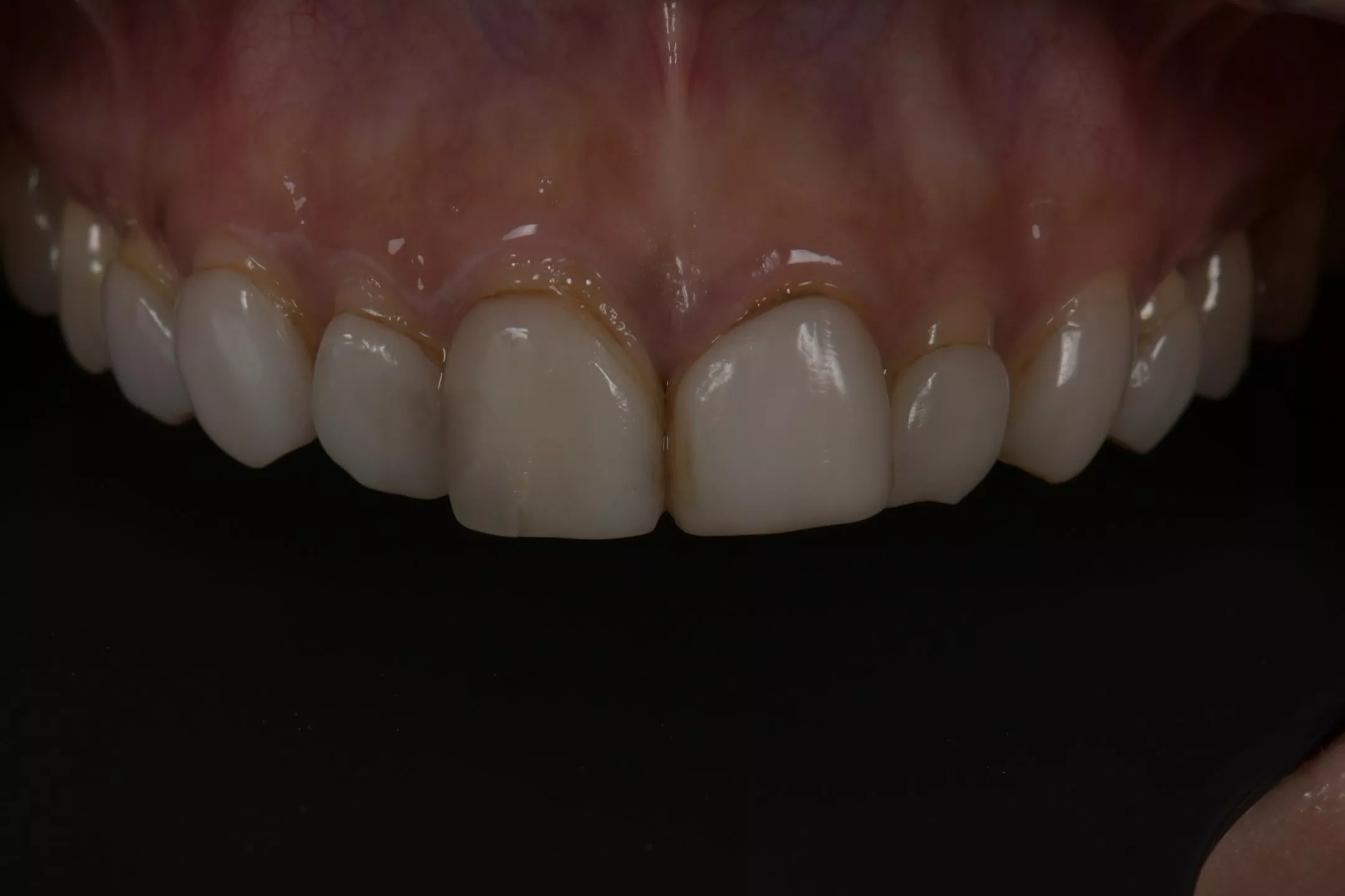
因此,每一次的治療,我都傾注最大的心力,在品質及細節上堅守高標準,讓成果真正經得起考驗。
一副笑容的改變,帶來的不只是外觀的提升,更深刻影響一個人在職場、人際與生活中的自信。相反的,一顆做得不夠好、撐不久的牙齒,或許短期內無痛無礙,卻會在無形中逐漸消磨一個人對生活的底氣。
身為職人牙醫師,我的責任不只是修復,更是透過專業經驗,為每一位患者把關未來。
請相信,有一位醫師,比你更在乎你的牙齒!
